Porcelain Veneers
Achieve Your Perfect Smile With Premium Porcelain Veneers

At North Queensland Family Dental, we specialise in crafting unique smiles that enhance your natural beauty, drawing positive attention. Whether you’re dealing with cracked or chipped teeth, smile gaps, or simply seek improved symmetry, veneers offer a pathway to realising your ideal smile. Our efficient and painless process ensures swift results, leaving you with a radiant smile to cherish for years to come after just a few appointments.

Understanding
Porcelain Veneers
Porcelain veneers are meticulously fashioned from top-grade dental porcelain, renowned for its durability and lifelike appearance. Porcelain veneers are resistant to staining, mimicking the natural beauty of tooth enamel for a radiant, stunning smile.
This long lasting cosmetic dental option addresses various concerns, including:
- Tooth cracks or chips
- Irregular tooth shapes
- Minor misalignment
- Small-sized teeth
- Gaps between teeth
- Discolouration, translucency, and stains
At North Queensland Family Dental, our dentists are committed to crafting smiles that are tailored to harmonise seamlessly with your unique facial features, life stage, and personality. That’s why during your initial consultation, we prioritise getting to know the authentic you, ensuring that your smile transformation is personalised and reflects your true essence.
What's Involved
Initial Assessment
Your journey begins with a thorough consultation, where our experienced and welcoming dentists will meet you. Collaboratively, we will devise a treatment strategy tailored to your aspirations, budget and timeframes. You’ll receive unbiased guidance from an expert, allowing you to explore all available options and make well-informed choices. By the end, you’ll depart with a concise treatment roadmap.
Our dentists will evaluate your speech patterns, smile dynamics, and bite alignment, prioritising both aesthetic appeal and functionality. Subsequently, we’ll take a series of photos and conduct a teeth scan, forwarding the scans to our skilled ceramists, who along with your cosmetic dentist, will commence designing your porcelain veneers.
Trial Smile
This marks a significant stage in your smile transformation.
Once your smile design is finalised, temporary veneers will be carefully placed by our dentists. This allows you to experience and assess the shape, colour, size, and comfort of your veneers firsthand.
Upon completion of your smile design, temporary veneers will be delicately applied by our dentists.
Your feedback plays a vital role in perfecting the final design.
As you provide input, the ceramics studio initiates the production process, ensuring your preferences are meticulously integrated at every stage.
Final Smile Application
Upon completion of your porcelain veneers, we’ll delicately remove the temporary set to pave the way for the permanent replacements. Before bonding the veneers to your teeth, you’ll have the chance to assess your smile.
Once the fit and aesthetic meet your approval, we’ll cleanse your teeth using a specialized dental cleanser to ready them for veneer placement, before we’ll then securely bond your porcelain veneers in position with the permanent dental cement.

Advantages of
Porcelain Veneers
Porcelain veneers are a highly sought-after cosmetic treatment. Discovering their numerous benefits will demonstrate why they are a worthwhile investment.

Address Various Dental Concerns
Porcelain veneers are versatile solutions for a range of dental issues, such as discoloration, misalignment, cracked teeth, and gaps.
Beyond enhancing aesthetics, veneers help create a smooth bite and a balanced, symmetrical smile. They can also function as protective coverings for cracked or weakened teeth, often eliminating the need for extraction or replacement.
Offers an Alternative to Orthodontics
Orthodontic treatments typically demand a substantial commitment of time and effort. Porcelain veneers present a more efficient alternative to traditional orthodontics.
Improves Your Smile
Our veneers are crafted to allow light to pass through and reflect off your natural teeth, giving you the radiant smile you desire. Each porcelain veneer is created in a bright, natural shade to enhance the whiteness of your smile.
The surface of porcelain veneers is stain-resistant, ensuring your teeth remain pearly white for years.
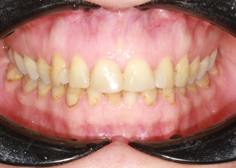
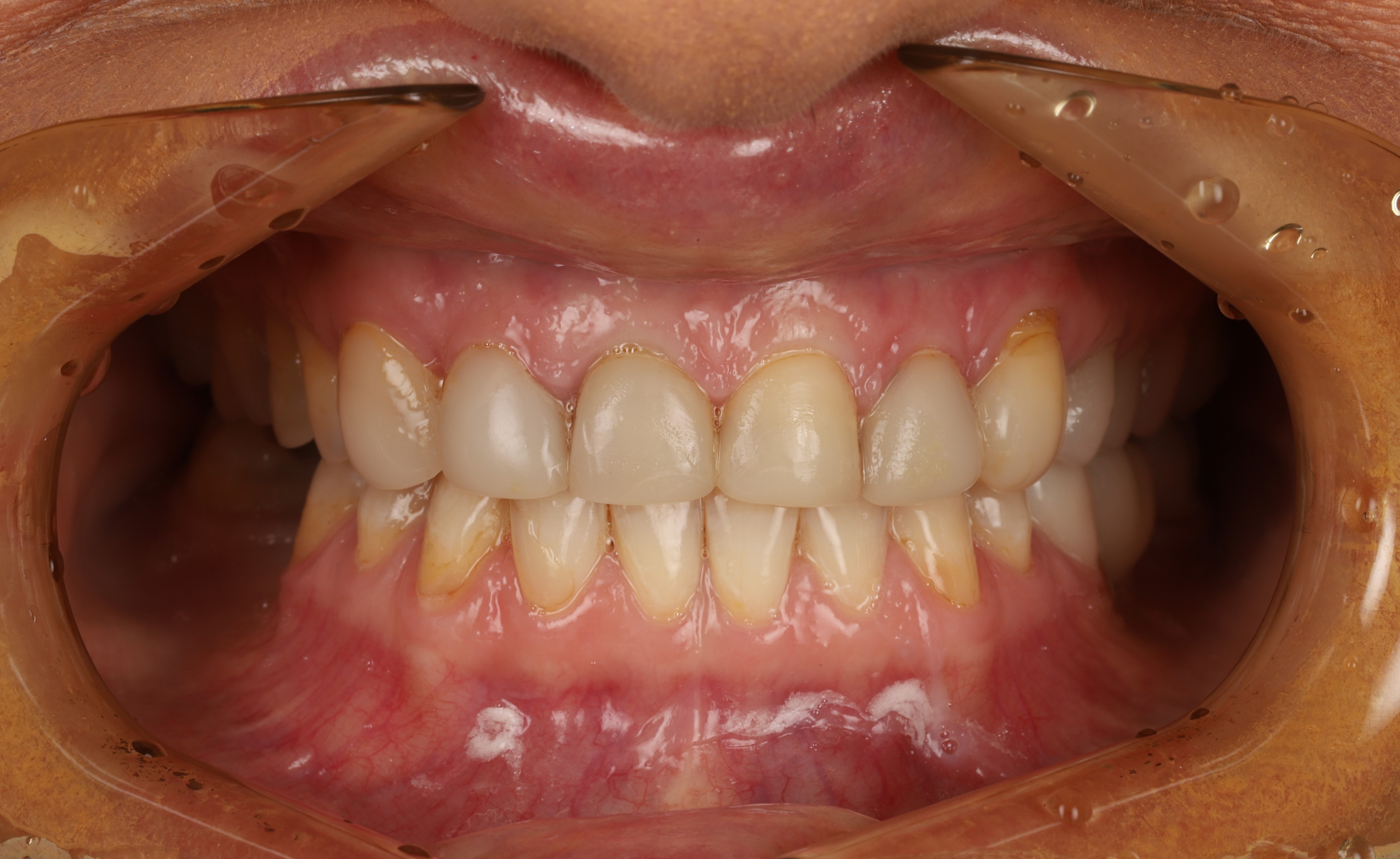
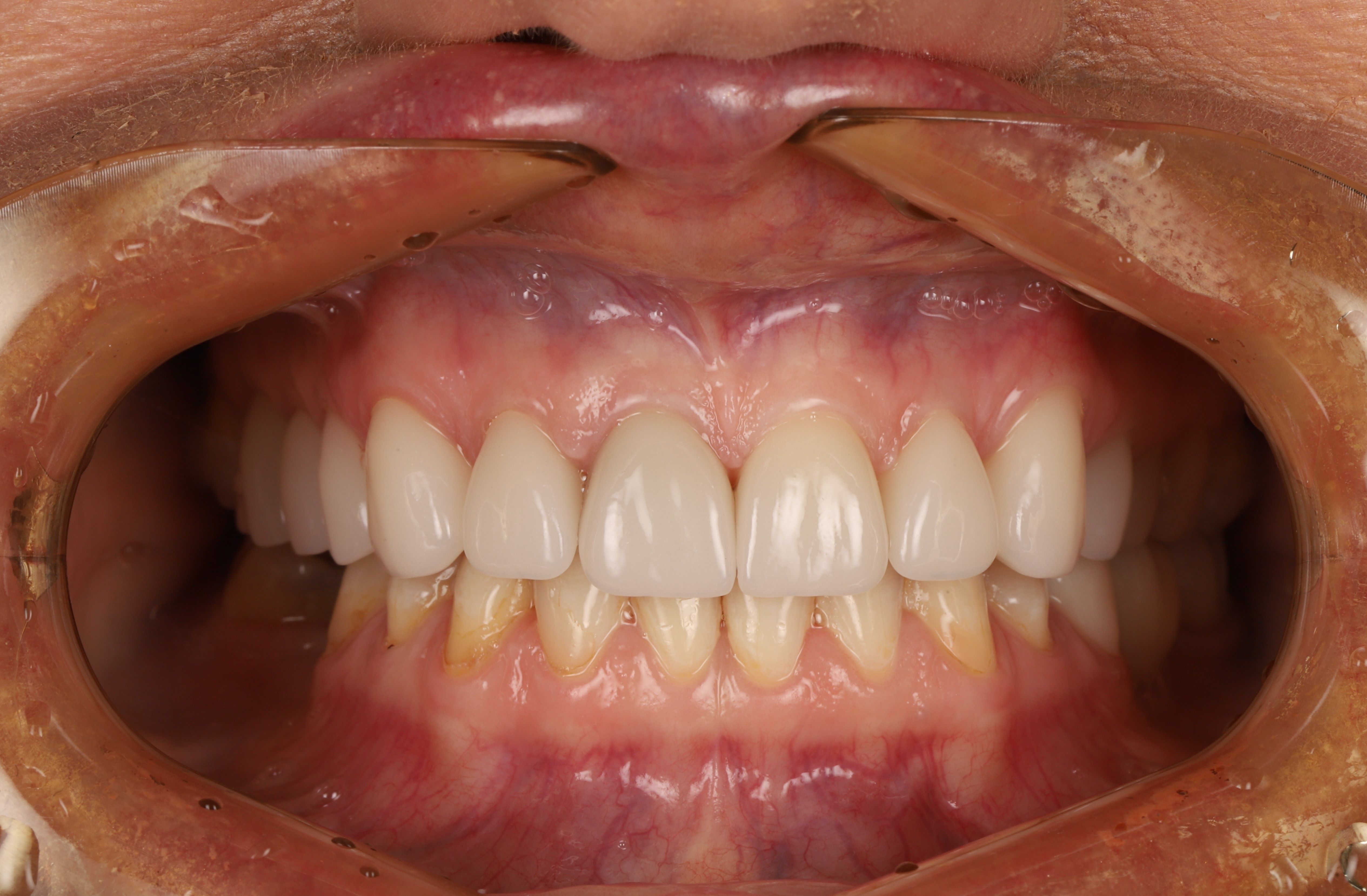
Porcelain Veneers
Smile Gallery
FAQ
What are porcelain veneers?
Veneers are thin coatings of tooth-coloured porcelain material that are bonded to the front surface of teeth to modify their appearance. Depending on what you want to achieve, veneers may be used to alter the colour, shape or alignment of your teeth.
Veneers are designed to give the appearance of healthy, natural-looking teeth. As veneers are a cosmetic treatment, they won’t improve your oral health.
Who is suitable for porcelain veneers?
If you’re thinking about changing the appearance of your teeth, we may suggest veneers as an option. We’ll make sure you have all the information about what this treatment involves so you can decide if it’s right for you.
Veneers can be used to cover up:
- Stains or discolouration
- Worn or chipped teeth
- Crooked or misshapen teeth
- Small gaps.
We may suggest veneers as an alternative to teeth whitening if you’re not a candidate for whitening treatments or you prefer a longer-term solution.
You may not be suitable for veneers if you have small or weakened teeth or if you grind your teeth. If you have an oral health problem such as tooth decay or gum disease, this will need to clear up before we can begin a cosmetic treatment.
Will my teeth require shaving down for porcelain veneers?
This is a frequently asked question about porcelain veneers, but it’s also a common misunderstanding. At North Queensland Family Dental, we use cutting-edge technology and a highly trained team to prioritize minimal preparation whenever feasible. However, depending on your specific smile needs, some preparation may be necessary to ensure a secure foundation for the veneer placement.
What is the lifespan of porcelain veneers?
With the correct maintenance and home care regime, the average lifespan of porcelain veneers is 15+ years.
Our Cosmetic Services
Book an Appointment
With Us Today
Whether you're ready for a complete smile transformation or simply due for a check-up, our experienced team at North Queensland Family Dental is here to help.




















.jpg)

.jpg)
