Invisalign
Townsville’s exclusive Platinum Elite Invisalign Provider, offering exceptional expertise and results

At North Queensland Family Dental, we combine the precision of Invisalign with the latest technology to make your treatment more convenient, more efficient, and more personalised than ever before.

Understanding
Invisalign
Invisalign treatment, a cornerstone of our practice, employs a series of transparent aligners to gently guide your teeth into alignment. Unlike braces, these aligners are virtually invisible and can be removed for convenience, ensuring minimal disruption to your daily life. Crafted from precise 3D scans of your teeth, each aligner is meticulously designed with your desired smile in mind.
"Invisalign + Dental Monitoring = Your most convenient smile ever."
We’re one of only a few practices in Townsville to offer Dental Monitoring - a simple, app-based system that allows us to check your Invisalign progress from wherever you are. Using your smartphone and a small scan-box, you can send us regular images of your teeth, meaning fewer trips to the clinic and more flexibility in your schedule.
This real-time connection allows our team to guide you every step of the way. You’ll know exactly when to change to your next aligner, and if something isn’t tracking perfectly—such as an aligner not fitting snugly—we can address it straight away, often without an in-person visit.
Why Our Patients Love Dental Monitoring
- Convenience – Perfect for busy schedules, work commitments, or travel
- Faster progress – More frequent feedback helps keep treatment moving efficiently
- Peace of mind – Your smile is monitored closely between visits
- Personalised care – Tailored advice and adjustments when you need them
With Dental Monitoring, you can achieve your ideal smile while enjoying the freedom to get on with life. It’s orthodontic care designed for modern lifestyles - right here in Townsville.
Learn more about Dental Monitoring.

What's Involved
Stage 1: Personalised Assessment
During your initial consultation, our cosmetic dentists engage with you to assess the suitability of Invisalign® aligners in realising your desired smile. This phase is an opportunity for us to understand your story and background, smile goals, concerns, and requirements comprehensively. We observe your smiling, speaking, and biting patterns, while also considering your distinct facial features and traits. This holistic approach equips us with the insights necessary to develop a customised treatment strategy tailored specifically to your needs.
Stage 2: 3D Scanning and Smile Preview
Once determined that Invisalign® is the appropriate treatment, we proceed with detailed 3D scans of your teeth, initiating the creation of your custom aligners and setting the course for your journey toward a beautifully aligned smile. Using advanced Clincheck video technology, you are presented with a preview of your anticipated final outcome and smile design. This interactive process enables you to provide feedback and make adjustments as needed, ensuring your complete satisfaction with the eventual result.
Stage 3: Commencement of Custom Aligner Treatment
Upon completion of the meticulous fabrication process by Invisalign®, individually crafted by our in-house dental team, your treatment journey begins. Following the provision of your initial set of aligners, along with your weekly dental monitoring scans, we conduct regular progress assessments every 10-12 weeks throughout the treatment period. At each appointment, you receive the subsequent set of aligners, to be worn consistently for 22-24 hours daily. Upon reaching the final aligner and achieving optimal alignment, ensuring your complete satisfaction with the outcome, you'll confidently embrace your newly aligned smile.
Invisalign® Pricing
Flexible Payment Options Starting from $53 – $118 per Week
We understand the importance of making Invisalign® treatment financially accessible. What good is it to offer a solution to physical and emotional discomfort if it remains out of reach? Whether through customised payment plans or utilizing early release superannuation, we strive to facilitate your journey towards a confident smile.
Regardless of your location throughout North Queensland, let's engage in a conversation about your daily challenges and explore how we can assist you.

Advantages of
Invisalign
Are you seeking straighter teeth without the hassle of traditional metal braces? Do you engage in public speaking or hold a frontline position where discretion matters? Are you in search of a more subtle alternative to traditional braces?

1) Nearly Undetectable Treatment
Invisalign® clear aligners are nearly undetectable, allowing you to wear them confidently without drawing attention. Whether it's a special event or your everyday routine, you can be yourself and showcase your smile with confidence!"
2) Comfortable Treatment Choice
Invisalign® treatment offers comfort, making it an ideal choice, especially for individuals with active lifestyles. With no sharp brackets causing discomfort, you can enjoy your daily activities without worry."
3) Simple Maintenance & Convenience
With Invisalign®, maintaining oral hygiene is hassle-free. Whenever you need to eat, brush, floss, or engage in any activity where traditional braces might pose challenges, you'll appreciate the flexibility of Invisalign®. Since the aligners are removable, you have the freedom to attend to your dental care needs without navigating around wires. Enjoy the convenience of removing your aligners for meals, morning coffee, and special events."
4) Optimal Bite and Alignment
To achieve optimal results, it's recommended to wear your Invisalign® clear aligners for 20 to 22 hours daily. Invisalign® treatment can effectively address a variety of dental issues, including overbites, underbites, crossbites, spacing concerns, open bites, misalignment, and crowding."
Invisalign
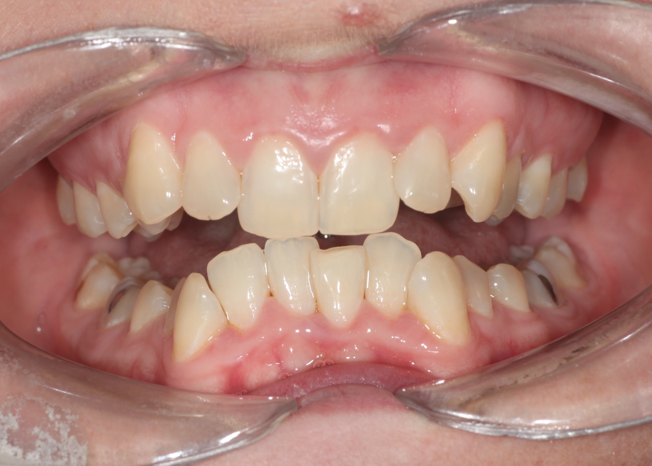
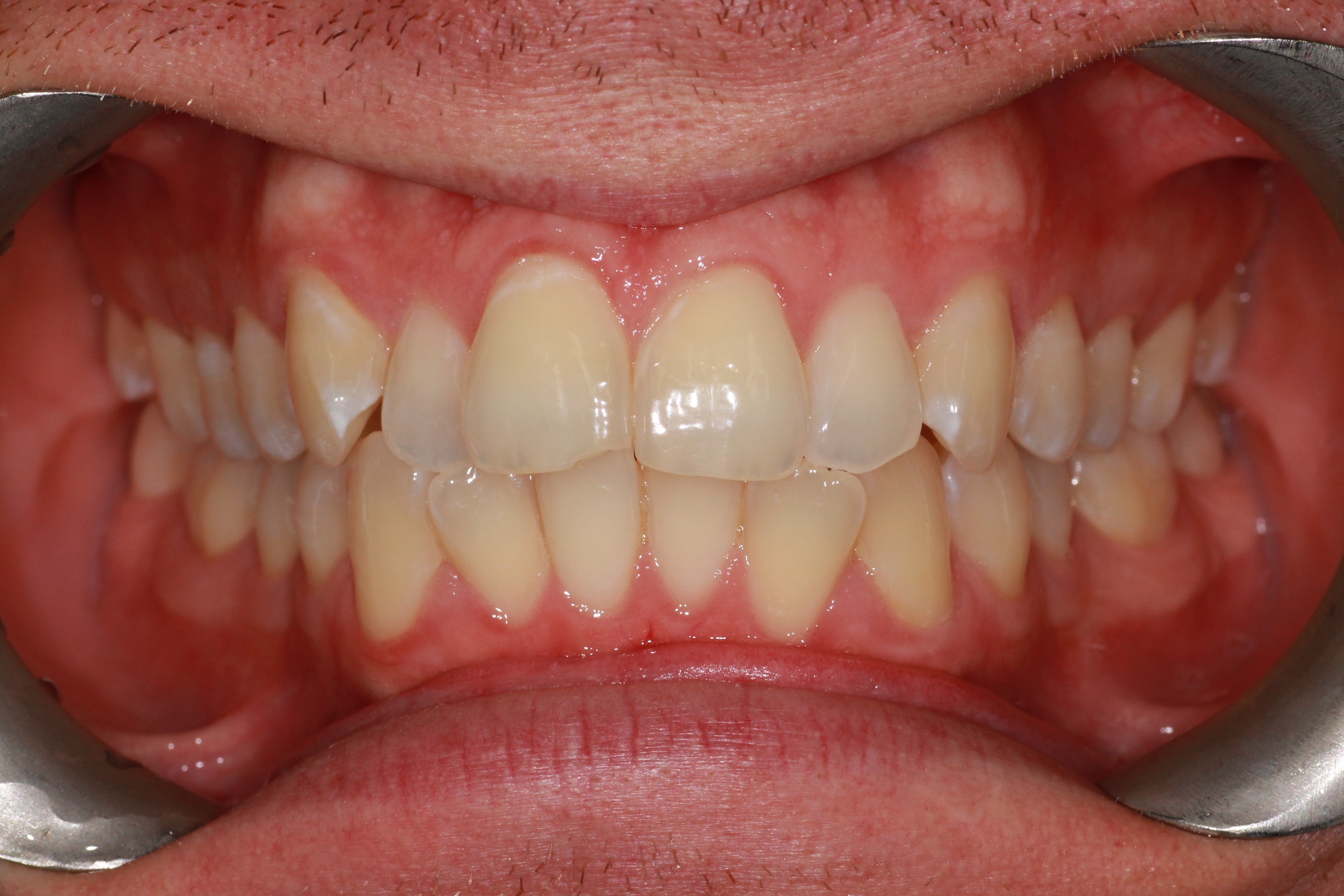
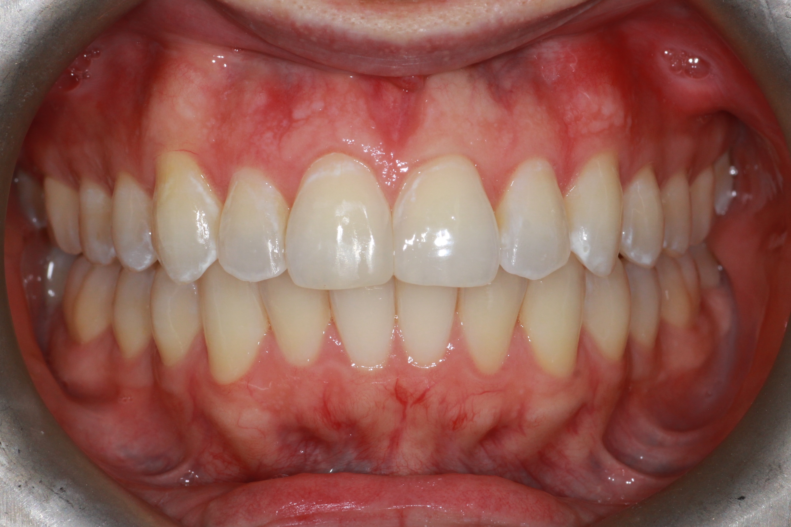
Smile Gallery
FAQ
What is invisalign?
Invisalign® is an orthodontic treatment that uses removable aligners made from transparent plastic, rather than traditional braces. It can help to straighten crooked teeth or correct a misaligned bite.
These aligners are designed by dentists and custom-made using advanced sophisticated computer modelling software. With Invisalign® claiming 25 years of research and data from over 17 million straightened smiles, you are using one of most well-known aligner systems available.
With Invisalign®, you replace your aligners with a new set every week, to gradually move your teeth into their desired position.
Invisalign® treatment won’t disrupt your lifestyle with the ability to remove your trays to eat, brush and floss. And with no metal bands or wires, most people won’t even know you’re wearing them!
Who is suitable for invisalign?
We normally suggest Invisalign® for adults or older teenagers who are concerned about their appearance and don’t like the look of traditional metal braces. Removable aligners can also be a more flexible option that suit certain lifestyles better. We’ll let you know if you’re a candidate during your consultation.
Invisalign® can treat most mild to moderate orthodontic problems, such as:
- gaps between your teeth
- crooked front teeth
- protruding teeth
- rotated teeth.
Even if you have dentures, a dental bridge or missing teeth, you may still be suitable for Invisalign®.
If you have a more severe orthodontic issue with your teeth or bite, we may recommend other treatments such as Smilefast™ braces.
If you have an oral health problem such as gum disease, this will need to be treated before you can start your Invisalign® treatment
How Long does the treatment take?
Like all orthodontic treatments, Invisalign® treatment length is dependent on your individual case. On average, Invisalign® treatment times are comparable to braces, with most patients in treatment for 6-18 months, but it may be more or less depending on how much your teeth or your bite need to be adjusted. We can give you an idea of how long your treatment is likely to take after we assess your condition.
Once you’re in treatment, we’ll arrange appointments every ten-12 weeks at our clinic. This gives us the chance to check your progress and to replace your aligner trays with new sets.
What are the risks?
We advise all possible risks and side-effects associated with Invisalign® treatment during your consultation.
If you have had a lot of previous dental work such as crowns, fillings or even implants, Invisalign® is often our preferred orthodontic option as it is completely safe to wear with these restorations, and can help avoid issues associated with attempting to bond braces to a filling or crown.
It’s normal to feel some discomfort when your aligners are first fitted. If this continues after a few days, or if you experience unusual symptoms or your aligners get damaged, contact us to make an emergency appointment.
How much does Invisalign Cost?
Every smile is different and every treatment is different. Treatment costs usually range from $53-$118/week on an interest free payment plan.
We will assess your situation and the length of treatment to determine a cost estimate prior to commencement.
We’ll make sure you have all the information you need about prices and payment plans when you visit our Townsville clinic for your Invisalign® consultation before commencing treatment.
Our Cosmetic Services
Book an Appointment
With Us Today
Whether you're ready for a complete smile transformation or simply due for a check-up, our experienced team at North Queensland Family Dental is here to help.















.jpg)


.jpg)
