Composite Bonding
Composite bonding is a simple, minimally invasive, and cost-effective way to transform your smile

Using a tooth-coloured resin material, our dentists can repair chips, close gaps, reshape teeth, and improve discolouration – all in just one appointment. It’s a great alternative to porcelain veneers for patients wanting fast results without permanent changes to their natural teeth. Do you have slight tooth damage, discolouration, crookedness, or gaps? Composite resin dental bonding could be the ideal cosmetic dental treatment for you!

Understanding
Composite Bonding
Dental bonding, also known as composite bonding, involves applying a tooth-coloured resin directly to the surface of your teeth.
Similar to porcelain veneers, composite bonding can correct the size, shape, or alignment of a chipped, misaligned, or spaced tooth. This resin bonds with your natural tooth structure, enhancing the appearance of your smile for improved aesthetics.
Both treatments can achieve a natural-looking result, with custom shades and shapes designed to complement your unique features.
Ultimately, the decision between them depends on your goals and individual situation. A consultation at North Queensland Family Dental in Townsville can help determine the best option for your needs.
For more information about composite bonding, talk to our friendly team at North Queensland Family Dental. Call us on 07 4755 2055 or book an appointment online.
What's Involved
Depending on the complexity of your treatment, Composite Bonding can follow a similar process to that of Porcelain Veneers.
Initial assessment and design
- Your journey begins a thorough consultation, where our experienced and welcoming dentists will meet you. Collaboratively, we will devise a treatment strategy tailored to your aspirations, budget and timeframes.
- Our dentists will evaluate your speech patterns, smile dynamics, and bite alignment, prioritizing both aesthetic appeal and functionality. Subsequently, we’ll take a series of photos and conduct a teeth scan and design the ideal tooth shapes we are going to recreate.
Shade/Colour Selection
- Your dentist will select a shade of material that closely matches your existing teeth, ensuring the filling blends seamlessly for a natural appearance. You can collaborate with your dentist to select the colour you prefer.
Final Smile Application
- Once your tooth or teeth are prepared, the dentist will apply resin, shaping and smoothing it to achieve the desired form. A blue ultraviolet light is used to cure the resin and solidify it. After curing, the dentist will refine the shape, polish, and trim it for a final polished appearance to enhance your smile.

Advantages of
Composite Bonding
Composite bonding is one of the most accessible and minimally invasive cosmetic treatments available. Discovering its benefits will show why it’s a popular choice for patients looking for fast, effective smile improvements.

Address Minor Dental Concerns
Composite bonding is a versatile solution for a variety of cosmetic issues, such as chips, cracks, small gaps, discolouration, or slightly misshapen teeth.
The treatment blends seamlessly with your natural teeth, creating a balanced, attractive smile without the need for extensive procedures.
Minimally Invasive and Preserves Natural Teeth
Unlike some treatments that require removal of enamel, composite bonding involves little to no alteration of your natural teeth. This makes it a conservative option that preserves your tooth structure while still enhancing your smile.
Fast and Cost-Effective Solution
Composite bonding is typically completed in just one appointment, giving you instant results without a lengthy process. It is also more affordable than porcelain veneers, making it an excellent choice for patients seeking noticeable improvements on a budget.
Natural and Customisable Results
The tooth-coloured resin is carefully matched to the shade of your existing teeth for a natural, seamless finish. Your dentist shapes and polishes the material to enhance both the function and appearance of your teeth, giving you a brighter and more confident smile.
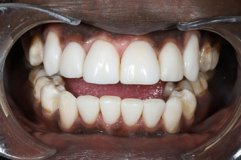
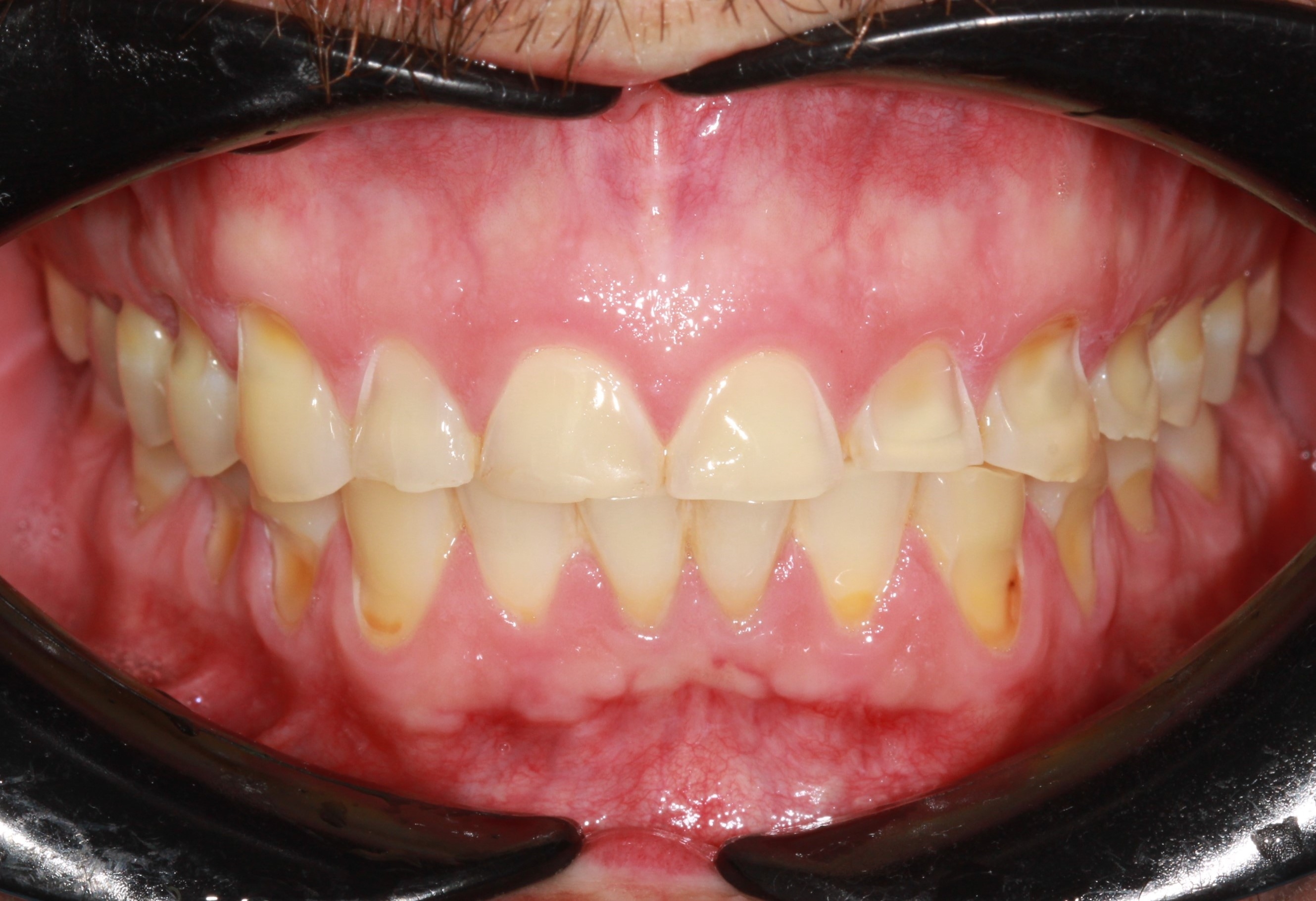
Composite Bonding
Smile Gallery
FAQ
What do I do to maintain composite bonding?
While dental bonding offers versatility and value, the composite resin used is not as durable as natural tooth enamel. Therefore, certain habits can jeopardize the integrity of the bonded material:
- Avoiding Hard Objects: Activities like nail-biting, chewing ice, or biting on pens can potentially chip or damage the bonded material. The resin, though resilient, is more susceptible to damage under such pressure compared to natural teeth.
- Oral Care Routine: Maintaining a consistent oral hygiene routine is crucial for prolonging the lifespan of dental bonding. Brushing your teeth twice daily with a soft-bristled toothbrush helps preserve both your natural teeth and the bonding material.
- Flossing: Daily flossing with a gentle touch is equally important. Using soft floss ensures effective cleaning between teeth without compromising the bonded areas.
With proper care, dental bonding can last for several years before requiring replacement. However, the longevity of bonding can be significantly influenced by personal habits and oral hygiene practices. Regular dental check-ups are essential for monitoring the condition of the bonding and receiving guidance on necessary maintenance or replacements.
What are the differences between porcelain veneers and composite bonding?
Composite bonding and veneers are both popular choices in cosmetic dentistry, yet they vary in several key aspects:
Material
Composite Bonding: This method utilizes a tooth-coloured composite resin applied directly to the tooth’s surface. The resin is shaped and hardened to enhance the tooth’s appearance.
Veneers: Veneers are thin, custom-made shells typically crafted from porcelain or ceramic. These shells are made in a dental lab, and a small amount of natural tooth structure is reshaped to accommodate them before they are bonded to the front of the teeth.
Purpose
Composite Bonding: Primarily used for minor cosmetic issues like stained teeth, chips, gaps between teeth, and minor imperfections in tooth shape or colour.
Veneers: Ideal for comprehensive smile makeovers, addressing issues such as severe tooth discoloration, larger gaps, broken teeth, misaligned teeth, and more significant imperfections.
Tooth Reduction
Composite Bonding: Requires minimal to no removal of natural tooth structure. The tooth’s surface may be lightly roughened, but its natural structure is largely preserved.
Veneers: Involves the removal of a small amount of enamel to accommodate the veneer. This process is irreversible, necessitating permanent restoration or protection of the tooth.
Longevity
Composite Bonding: Generally lasts 5 to 7 years with proper care, depending on oral hygiene and habits.
Veneers: Known for their durability, veneers can last 15 years or longer when maintained well.
Staining Resistance
Composite Bonding: Composite resin may be more susceptible to staining from foods, drinks, and habits like smoking.
Veneers: Porcelain veneers are highly resistant to staining, maintaining their appearance over time with regular dental care.
Customization
Composite Bonding: Offers some customization but may achieve different levels of colour matching and translucency compared to veneers.
Veneers: Custom-made in a dental lab, providing precise colour matching and a high level of customization for achieving desired aesthetic outcomes.
Our Cosmetic Services
Book an Appointment
With Us Today
Whether you're ready for a complete smile transformation or simply due for a check-up, our experienced team at North Queensland Family Dental is here to help.







.jpg)

.jpg)

